

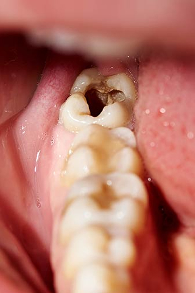
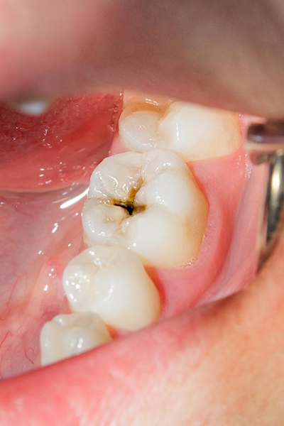
Caries profunda que no es tratada a tiempo y llega a dañar el nervio, provocando que se infecte el diente y la zona colindante.
Traumatismos.
La abrasión, erosión y desgaste de los dientes por el roce entre ellos. Esto puede provocar enfermedades como la pulpitis o la lesión de pulpa y para curarlas también será necesario realizar una endodoncia.
Si presenta estos síntomas, visite nuestra clínica dental para recibir la solución a su problema.
Dolor dental al masticar
Sensibilidad excesiva de los dientes con bebidas frías o calientes
Hinchazón facial o de las encías
Decoloración o encanecimiento del diente
Hinchazón y sensibilidad de las encías cercanas
Secreción del diente
A veces no se presentan síntomas. Por este motivo, es importante programar visitas preventivas periódicas, ya que podremos identificar cualquier problema potencial. Somos especialistas en Endodoncia y estamos aquí para servirle.


